لمینت سرامیکی غرب تهران
لمینت سرامیکی در غرب تهران با بالاترین کیفیت
داشتن لبخندی زیبا و دندانهایی درخشان، تأثیر چشمگیری در افزایش اعتمادبهنفس دارد. لمینت سرامیکی یکی از بهترین روشهای اصلاح طرح لبخند است که در کلینیک دندانپزشکی فروردین با استفاده از مواد باکیفیت و تکنولوژی پیشرفته ارائه میشود. این روش نهتنها ظاهری طبیعی به دندانها میبخشد، بلکه مقاومت بالایی در برابر تغییر رنگ و سایش دارد. اگر به دنبال انجام لمینت سرامیکی در غرب تهران هستید، متخصصان ما آماده ارائه خدمات تخصصی با بهترین نتیجه هستند.
بخش دندانپزشکی زیبایی و ترمیمی دارای اتاق مجهز می باشد . درمان های زیبایی شامل لمینیت کامپوزیتی و لمینیت سرامیکی ( کلینیک دندانپزشکی شبانه روزی فروردین بهترین لمینت سرامیکی غرب تهران را انجام میدهد )، بستن فواصل بین دندانی ، اصلاح کجی دندان ها ، اصلاح طرح لبخند ، سفیدی کردن دندان ها یا بلیچینگ دندان ، و کلیه درمان های رایج ترمیمی شامل پرکردن آن با مواد همرنگ و آمالگام و غیره …
درمان های زیبایی و ترمیمی در صورت تمایل توسط متخصص در مجهزترین کلینیک دندانپزشکی انجام می شود .
لامینت کامپوزیتی یا سرامیکی
لمینت (ونیر) چیست ؟
لمینت (ونیر) لایه ای از مواد همرنگ دندان می باشد که برای اصلاح فرم، شکل، رنگ، طول و همچنین بستن فواصل بین دندانی استفاده می شود . لامینت های سرامیکی ، پوسته های نازکی از جنس سرامیک می باشند که به سطح جلوی دندان ها متصل می گردند . ضخامت این پوسته ها به طور متوسط ۵.۰میلی متر می باشد.
لامینت های کامپوزیتی در واقع لایه هایی از مواد همرنگ دندان یا کامپوزیت می باشند که روی دندان مورد نظر جهت اصلاح رنگ، بدشکلی، و بستن فاصله گذاشته می شوند. لامینت یا ونیر دندان درمان بسیار مناسب برای اصلاح طرح لبخند ، اصلاح رنگ و فرم دندان ها می باشند و باعث ایجاد اعتماد به نفس بیشتری در بسیاری از افراد هنگام صحبت کردن با دیگران می شوند.
لمینت سرامیکی
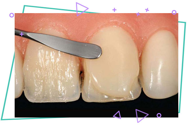
در بیشتر موارد ، تراش روی سطح دندان صورت می گیرد . البته در مورادی که مشکلات شدید نباشد ، ممکن است نیازی به تراش دندان نباشد. تراش ذکر شده در حد مینای دندان است. سپس از دندان های مورد نظر قالب گیری و نمونه جهت ساخت به لابراتوار ارسال می گردد. بعد از مراحل ساخت و امتحان در داخل دهان، لامینت های فوق ، از جمله لمینت سرامیکی غرب تهران با مواد مخصوص روی دندان ها چسبانده می شوند .
لمینت کامپوزیتی
در لامینت های کامپوزیتی مواد همرنگ دندان یا کامپوزیت روی دندان، به صورت لایه لایه گذاشته می شود.
تفاوت لمینت های سرامیکی و کامپوزیتی
مینت های سرامیکی ظاهری بسیار زیباتر و با دوام تر و ثبات رنگ بیشتری دارند. در صورتی که لامینت های کامپوزیتی دوام و ثبات رنگ کمتر در مقایسه با لامینت های سرامیکی دارند و از زیبایی کمتری برخوردار هستند .
از مزایای لامینت های کامپوزیتی ، قیمت پایین تر ، تراش کمتر یا معمولا بدون تراش دندان و همچنین جلسات کوتاه تر درمان می باشد .
عمر متوسط لامینت های کامپوزیتی و سرامیکی چقدر می باشد ؟
بسته به بیمار، شرایط بیمار، نیروی وارد به دندان ها و رعایت بهداشت ، عمر متوسط لمینت های سرامیکی به ۱۰ سال می کشد و در لمینت های کامپوزیتی ، عمرم متوسط شان به ۵ سال می رسد .
ترمیم های کامپوزیتی یا آمالگام ؟
آمالگام ترکیبی از چند فلز که شامل نقره و درصد خیلی کم مس یا فلزات دیگر همراه با جیوه می باشد ( تقریبا ۵۰% نقره، ۵۰% جیوه ). این ماده در ابتدا به صورت خمیری شکل می باشد که با گذشت زمان بعد از چندین دقیقه سفت می شود .
بعد از ۲۴ ساعت ، به سفتی نهایی خود می رسد . جهت ماندگاری آمالگام در دندان باید گیر مکانیکی در دندان ایجاد نمود، چون آمالگام توانایی چسبیدن به بافت دندان را ندارد .
استحکام و دوام بسیار بالا ، تطابق خوب با لثه و بافت دندان و استفاده راحت تر از آن از مزایای آمالگام می باشد اما از نظر ظاهری با توجه به رنگ فلزی آن مورد پسند بسیاری از افراد نمی باشد. به این جهت بیشتر در دندان های عقب استفاده می گردد.
نظراتی راجع به مضر بودن استفاده از این ماده مانند احتمال ایجاد سرطان کلیه در انسان وجود دارد که البته هنوز به اثبات نرسیده است . به دلیل آلودگی ناشی از جیوه ، به محیط زیست در بعضی از کشورها ، مقررات سختگیرانه تری برای مصرف این ماده اعمال می شود .
کامپوزیت توانایی چسبیدن به بافت دندان ، البته با تکنیک خاص و مواد مخصوص را دارد. از مزایای کامپوزیت می توان به زیبایی، توانایی چسبیدن به دندان و استحکام نسبتا بالا، البته کمتر از آمالگام را نام برد.
از معایب آن، امکان ریزنشت بزاق در کناره های مجاور لثه و عدم امکان استفاده از آن در پوسیدگی های که مجاور لثه یا زیر لثه می باشند . همچنین استحکام کمتر نسبت به آمالگام از دیگر معایب این ماده محسوب می شود . در مجموع بسته به صلاحدید پزشک و نیازهای زیبایی بیمار ، نوع ماده انتخاب می گردد. البته در بیماران با بهداشت ضعیف و پوسیدگی وسیع به جز در دندان های جلو بهتر است از آمالگام استفاده گردد.
آیا در دندان های نامرتب به جای ارتودنسی می توان از لامینت استفاده کرد ؟
در ناهنجاری های خفیف تا متوسط ، مخصوصا در فک بالا می توان به جای درمان ارتودنسی که زمان بیشتری نیاز دارد ، از روش لامینیت استفاده کرد و نتیجه بهتری از لحاظ ظاهری گرفت .
اما در ناهنجاری های شدیدتر حتما نیاز به درمان ارتودنسی دندان می باشد ، در غیر این صورت دندان ها باید به مقدار زیادی تراش خورده شوند و همین باعث افتادن مکرر لامینت ها می گردد .
همچنین اصرار بر درمان لامینت در دندان های به شدت نامرتب ممکن است باعث ایجاد التهاب و بیماری لثه شود و در این گونه موارد بهتر است از درمان ارتودنسی استفاده گردد .
بلیچینگ (Bleaching) چیست ؟
بلیچینگ به معنی سفید کردن دندان ها با مواد مخصوص اکسیدکننده این مواد به بافت دندان شامل مینا و عاج نفوذ کرده و باعث اکسید شدن رنگ دانه ها می گردد و در نهایت رنگ دندان طی این پروسه درمانی به میزان چشمگیری روشن تر می گردد.
بلیچینگ دندان میتواند رنگ نامناسب و زرد دندانها را که بر اثر عادات بد غذایی و یا عدم رعایت بهداشت فردی و حتی سیگار کشیدن به وجود آمده است را برطرف نماید. بلیچینگ توسط مادهای به نام اکسید هیدروژنه باعث تغییر رنگ دندان ها میشود که این ماده میتواند جرم و رسوبهایی که بر روی دندانها نشسته و باعث بدرنگی آنها شده را کامل برطرف می نماید . نکته مهم در رابطه با این درمان این است که میزان تخصص و تجربه دندانپزشک تأثیر فراوانی در میزان سفید شدن دندانها دارد . البته افراد نباید فراموش کنند که یک بار استفاده از این روش برای سفید ماندن دندانهای بدرنگ کافی نیست و میبایست هر چند وقت یک بار به مطب متخصص در این حیطه مراجعه نمایند؛
انواع بلیچینگ
این روش با قرار دادن مواد بلیچینگ خانگی که غلظت کمتری نسبت به مواد مصرفی در مطب دارند ، در قالبی مخصوص به مدت مشخص روی دندان ها انجام می پذیرد . به علت کمتر بودن غلظت مواد و عدم استفاده از اشعه مخصوص ، جوابگیری روش زمان کمتری نسبت به انجام آن در مطب می گیرد .
در این روش دندان پزشک از دندان های شما ، قالب دقیقی تهیه میکند و از روی قالب تهیه شده تری های پلاستیکی نازک و شفافی (مانند شکل زیر) ساخته میشود . این قسمت اکثرا به لابراتوار ها سپرده میگردد . در این تری پلاستیکی فضای مناسب بین دندان و وسیله پلاستیکی پیشبینی شده که ژلهای بلیچینگ را طیق دستور پزشک در آن قرار میدهید . در نهایت پس از گذشت چند هفته و پس از استفاده از ژل مربوطه طبق دستور العمل دندانپزشک ، دندانها به سفیدی مورد نظر میرسند . ژل مورد استفاد ه در این روش بین ۱۶ تا بیست درصد غلظت دارند .
قرار دادن مواد مخصوص به مدت مشخص که معمولا ۳ پروسه ۱۵ دقیقه ای در یک جلسه روی دندان ها می باشد ، و تاباندن اشعه مخصوص روی این مواد در این مدت . اثربخشی این مواد معمولا رنگ دندان ها را ۳ تا ۴ درجه روشن تر می کند .
البته این میزان در افراد مختلف نسبت به نوع تیرگی دندان و همچنین جنس دندان می تواند متفاوت باشد . در این روش سرعت سفید شدن دندان بالاتر از روش های خانگیست ولی در صورتی که به درستی استفاه نشود ممکن است باعث حساسیت زود گذر در لثه و مخاط دهان شود . برای ماندگاری بیشتر بلچینگ می توان از ترکیب دو روش با هم استفاده کرد .
آیا بلیچینگ ضرر دارد ؟
اگر بلیچینگ به صورت صحیح انجام شود ، ضرر خاصی ندارد ، فقط تا چند روز دندان ها دچار حساسیت می شوند که خود به خود رفع می گردد .
دوام بلیچینگ چقدر است ؟
بسته به نوع تیرگی دندان ، عادات غذایی مثل نوشیدن زیاد چای ، قهوه ، استعمال دخانیات ، رعایت بهداشت دهانی ، ثبات درمان تغییر می کند . معمولا ۲ سال یک بار تکرار درمان صورت می گیرد .

جلوگیری از پوسیدگی دندان کودکان
پوسیدگی دندان یکی از شایعترین مشکلات بهداشتی در کودکان است که میتواند تاثیرات طولانیمدتی بر سلامت دهان و دندان آنان بگذارد. جلوگیری از پوسیدگی دندان

مراقبت های پس از درمان زیبایی دندان
درمانهای زیبایی دندان مانند لمینت، کامپوزیت، بلیچینگ یا اصلاح طرح لبخند تنها زمانی ماندگار و رضایتبخش خواهند بود که بعد از انجام آنها به توصیههای

مراقبت های پس از ترمیم دندان
مراقبت های پس از ترمیم دندان اهمیت ویژهای در حفظ نتیجه درمان و جلوگیری از مشکلات بعدی دارند. رعایت این مراقبتها میتواند دوام ترمیم را

آیا لمینت دندان برای شما مناسب است؟
آیا لمینت دندان برای شما مناسب است؟ لمینت دندان یکی از محبوبترین روشهای اصلاح طرح لبخند و زیبایی دندانهاست که امروزه طرفداران زیادی در بین